FULLGOLDCROWN
Anybody else noticing the “Locals” are becoming aware of what happening in Gold and Silver Prices ?
2 of my daughters have contacted me this week asking if I am Happy…
Staff members are asking if I still have Gold and congratulations
Patients are talking about Precious metals
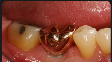
One asked me today I she could sell her full gold crown I did for her in 1976 ….HA !
Yes its still there protecting her lower right first molar
Damn things are Invincible
I told her she made a great investment in gold in 1976 and she didnt even know it…we had a good laugh
Then I said wait right here and I went to the AI I use and here is what transpired
Me..how much gold in ounces is there in a molar full gold crown
GPT-4o mini
To calculate the amount of gold in ounces in a molar full gold crown, we can use the following information:
Average Molar Crown Weight
A full gold crown typically weighs around 5 to 14 grams, depending on the size and specific dental requirements.
Conversion to Ounces
1 ounce equals approximately 28.35 grams.
Calculation
If we take an average weight of 10 grams for simplicity:
10 grams ÷ 28.35 grams/ounce ? 0.35 ounces
Summary
A molar full gold crown contains approximately 0.35 ounces of gold. The exact amount can vary based on the specific crown design and manufacturer.
Me…gold crowns are not 100% gold they are about 50% please recalculate
GPT-4o mini
You’re right; most gold crowns are not made of 100% gold. They’re typically composed of a gold alloy, which can contain about 50% gold or more, depending on the specific formulation.
Calculation with Alloy Percentage
Average Weight of Crown: Approximately 10 grams.
Gold Content: Assuming about 50% gold.
Amount of Gold in Grams
Gold weight = 10 grams × 0.50 = 5 grams of gold.
Conversion to Ounces
5 grams ÷ 28.35 grams/ounce ? 0.18 ounces.
Summary
A molar full gold crown contains approximately 0.18 ounces of gold when accounting for the alloy composition. Thank you for the correction!
me…what was the average price of gold in 1976 Canadian dollars
GPT-4o mini
In 1976, the price of gold averaged around $100 CAD per ounce. Prices experienced fluctuations throughout the year, but this figure provides a general estimate for the period. If you need more specific details or adjustments for inflation to present day values, let me know!
………………….
Now THIS particular Gold Crown was on a Large molar SO I am adding 20% to the amount of Gold alloy it has…..so I came back and told her Her Full Gold Crown has .22 Ounces of Gold
………..
Me…So Judy When we did this procedure Gold was $100 an ounce and your Crown had $22 worth of Gold .
And Today Judy it is still as shiny and vital as it was 50 years ago and you now with Gold over $7000 an ounce have about $1500 worth of Gold in your mouth . You had 50 years of happy chewing and Now ?
Would you consider an extraction 🙂
OR how about just leaving it ( When you are “done” chewing ) to your daughter…(she was with Judy who is now 85)… in your will…..Raucous Laughter 🙂 🙂
You can imagine the laughter and excitement….I think they left discussing and considering Both options 🙂
And I left work today with a smile that I still cant wipe off 🙂 🙂
FULLGOLDCROWN

Great story, never thought of leaving my fillings to the kids in the Will .
Your fillings are likely Amalgam which is a mix of Silver and Mercury and Zinc and Copper
Unless you have Gold Crowns or inlays it’s not worth it
Besides try finding a Dentist to do an extraction in a mortuary 🙂